国内首例!孕妇产检发现直径6.5厘米心脏巨大主动脉瘤,医生成功救治
近日,四川大学华西医院心脏大血管外科肖正华副教授和钱宏主治医师为李某成功实施了主动脉瓣成形+保留瓣膜的主动脉根部置换(VSRR,Valve Sparing Root Reimplantation)手术。李某术后恢复良好,胎儿生长发育正常,目前已顺利出院。
据介绍,经检索文献,国际上鲜见类似妊娠病人行此手术的病例报道,国内尚未见过类似报道。

危险重重,女子怀孕14周发现主动脉根部瘤
患者李某今年30岁,怀孕14周时,例行产检心脏彩超提示她的心脏有巨大主动脉根部瘤,且合并主动脉瓣严重反流。她在当地医院经过一段时间的保守治疗后,效果不佳,急需外科手术治疗。
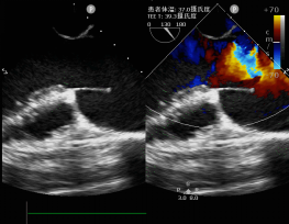
随后,李某转院至四川大学华西医院,进一步完善检查发现,超声心动图提示她的主动脉根部动脉瘤直径达6.5cm,破裂或发生主动脉夹层的风险较大,随时可能危及孕妇和胎儿生命。与此同时,患者李某的主动脉瓣重度反流、心脏功能下降,左心射血分数仅为43%,胸部血管CT还提示主动脉根部和升主动脉明显扩张等等。
重要的是,随着孕周增加,胎儿生长,患者需要消耗更多的氧气量和射血量,这无疑是在脆弱的心脏上不断“加码”,更是危险重重。
华西医院心脏大血管外科肖正华副教授仔细查体、结合患者家属病史,高度怀疑李某患有马凡综合征,随即联合华西医院麻醉科、ICU、康复科和华西第二医院产科等开展多学科会诊(MDT)。
什么是马凡综合征?这是一种以结缔组织为基本缺陷的遗传性疾病,可能会影响身体的许多系统,包括心脏、血管、骨骼、眼睛等等,心血管方面表现为主动脉或腹主动脉扩张,形成主动脉瘤或腹主动脉瘤。主动脉扩张到一定程度以后,将造成主动脉大破裂死亡。
病情复杂,医生制定两套方案应对实际情况
按照以往经验,此类患者大都采取主动脉根部置换(Bentall)手术,去除已经出现重度反流的原有瓣膜以及主动脉根部瘤,然后采用机械瓣的人工带瓣管道进行根部替换。另外,患者术后需要一直口服华法林进行严格抗凝。
考虑到患者李某和家属希望保留胎儿以及未来再次妊娠的可能,如果进行瓣膜置换,就存在发生血栓、出血及胎儿致畸等抗凝药物并发症的风险,MDT团队提出了第二种手术方案。该方案就是为主动脉瓣成形+保留脉瓣的主动脉根部替换(VSRR)手术,这样可保留患者自身瓣膜,术后无须服用抗凝药物,也可以降低围产期血栓和出血的风险等。但前提是,患者瓣膜具有较好质量,能达到保留的条件。

在和患者李某及家属充分沟通并征得同意后,多学科团队详细制定了两套手术方案,决定由肖正华副教授和钱宏主治医师联合麻醉科刘斌教授、杜磊教授和宋海波教授实施手术。到底采取哪一种手术方案,则要根据术中实际情况决定。
手术成功,国内尚未有对妊娠患者开展此类手术报道
患者李某全麻后,肖正华副教授和宋海波教授通过食道超声仔细评估瓣膜情况,发现患者虽然主动脉瓣重度反流,但瓣膜的质量不错,具备修复的基本条件。但是,团队术中又发现患者动脉瘤巨大,局部组织已经变薄,颜色变为苍白色,提示血管质量不佳,随时可能破裂,无疑给手术也增加了难度。
手术继续进行,肖正华副教授反复探查瓣叶,发现主动脉瓣虽存在重度关闭不全以及瓣环明显扩大,但瓣叶质量尚可,并无明显增厚钙化以及穿孔,决定实施第二套手术方案。
一方面,为马凡综合征患者进行保留瓣膜的主动脉根部置换手术,需要在尽可能短的时间内完成瓣膜修复和主动脉根部替换,各个吻合口不能有任何的出血;同时,患者又是孕妇,手术需要建立体外循环、心脏停跳以及面临其他未知风险,对术中管理、术后监护以及康复提出了更高要求。国内未有对妊娠患者开展此类手术的文献报道,没有可借鉴的经验。
复杂的手术流程后,团队再次经食道超声确认和衡量手术效果,确定手术成功。
术后,患者被送往胸外科ICU进行后续治疗。在曹舸副教授、范景秀副教授以及曾玲护士长带领的医护团队的共同努力下,术后第一天,患者顺利脱离呼吸机,监护室床旁超声实时监测表明胎儿生长发育及活动状况良好。
术后第二天,患者转回普通病房,康复科喻鹏铭教授以及周亚馨康复师的康复团队为其制定了详细周到的康复计划。
术后第六天,复查超声心动图结果提示患者心功能已基本恢复正常,主动脉瓣微量反流,手术效果显著。
目前,李某已经顺利出院,经检查,腹中胎儿也发育正常。
记者:林铎
编辑:陈静
责任编辑:张琴

川公网安备 51019002000745号

评论